Pesquisa de HPV por hibridização, Hibridização em anatomopatológico (biópsias) , Hibridização in situ para papilomavírus
Pesquisa de HPV por hibridização, Hibridização em anatomopatológico (biópsias) , Hibridização in situ para papilomavírus
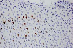
Consiste na detecção de seqüências específicas de DNA em cortes de tecido. utilizando sondas (seqüência de ácido nucleico específico) marcada com biotina. A biotina é detectada por um complexo enzimático e visualizada por uma reação colorimétrica através de um substrato. O sinal da Hibridização do DNA viral é visualizado precisamente no núcleo das células infectadas. Utilizamos o sistema automatizado BONDMAX DA LEICA BIOSYSTEMS.
A positividade do exame permite o diagnóstico específico da infecção pelo HPV em lesões genitais benignas, pré-cancerosas ou malignas e, eventualmente, em lesões extragenitais. A grande vantagem da hibridação in situ é a possibilidade de correlacionar os achados com os aspectos morfológicos/histológicos das lesões sem que haja necessidade de amostra fixada em meios especiais, o que permite a análise de biópsias ou peças cirúrgicas fixadas em formol a 10%, material congelado, cultura de células, preparados citológicos e blocos de parafina. A hibridação in situ é o método de escolha para a detecção nos tecidos, de seqüências específicas dos ácidos nucléicos do genoma do HPV presente nas células-alvo e para a associação dos achados com lesões histológicas. As sondas atualmente disponíveis para a realização do exame discriminam grupos de vírus com potencial de alto risco para oncogênese (tipos 16, 18, 31, 33, 35, 39, 45, 51, 52, 56, 58, 59 e 68) dos subtipos não comumente relacionados com o desenvolvimento de neoplasias malignas, mais associados a lesões condilomatosas (tipos 6-11). A pesquisa positiva confirma a presença do HPV na amostra, mas a negativa não afasta completamente a possibilidade de um dos outros tipos de HPV não compreendidos pelas sondas estar presente. Dessa forma, há necessidade de avaliação dos resultados anatomopatológicos para definir a melhor opção de conduta de seguimento e tratamento clínico, quando indicado.

